Our Past Work
Below you can find some before and after photographs taken of various procedures we perform at our clinic.
Severe decay treated with resin fillings
Missing tooth replaced with an implant
Missing tooth replaced with a partial denture
Missing tooth replaced with a fixed bridge
Decay treated with resin
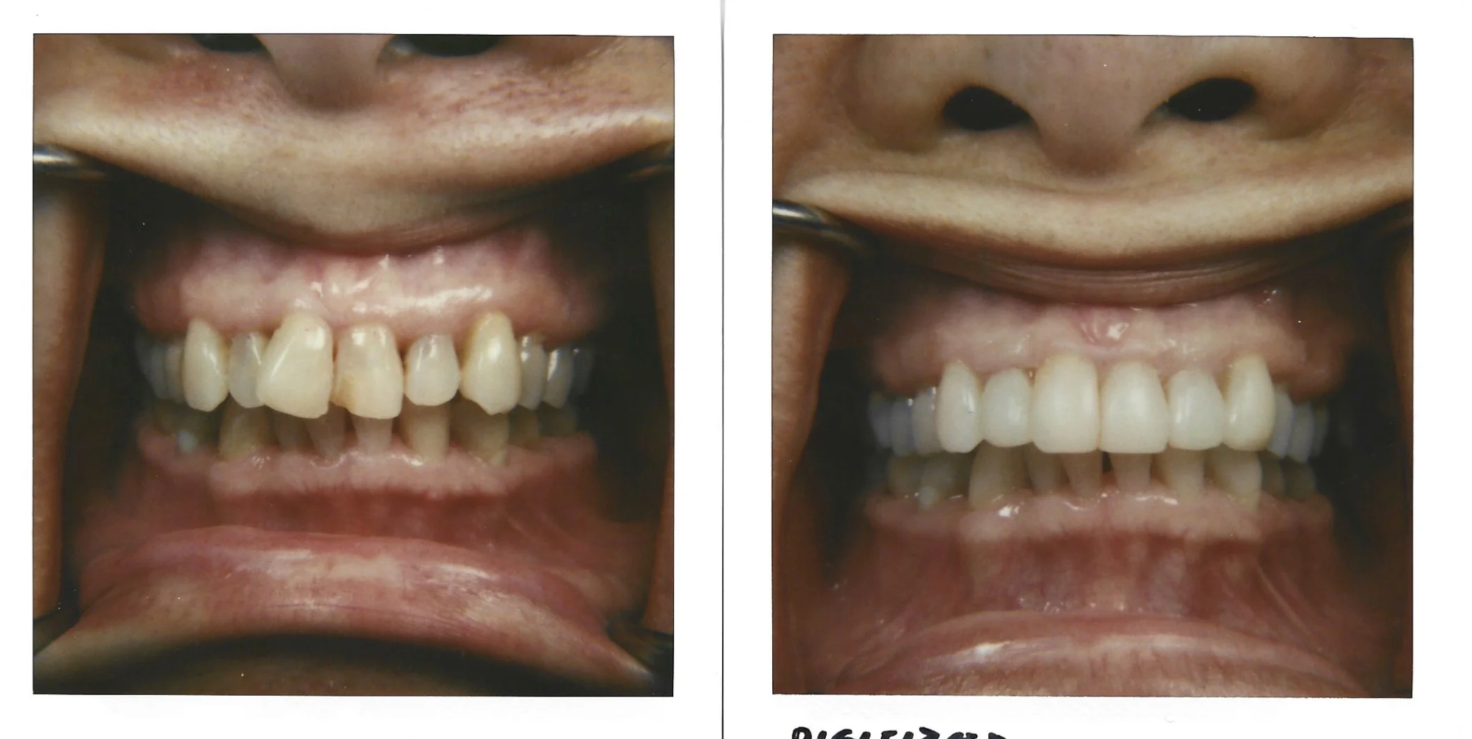
Complete upper and lower dentures improving appearance and function
Broken tooth treated with resin
Halloween Costume Teeth: Before
Halloween Costume Teeth: After
Cosmetic: Spacing corrected with resin veneers
Cosmetic: Spacing corrected with crowns and porcelian veneers
Cosmetic: Silver amalgam fillings replaced with white resin fillings 2
Cosmetic: Silver amalgam fillings replaced with white resin fillings 1
Cosmetic: Resin bonding
Cosmetic: Crowding corrected with resin veneers
Cosmetic: Crowding corrected with crowns and porcelain veneers
Cosmetic: Reshaping